Skip Menu
Continue
  • 1400 N Center Street
  • Suite 100
  • Bonham, TX 75418
  • Call Us Today! (903) 304-5810
  • Home
  • About Us
    • Our Office
    • New Patients
    • Smile Gallery
    • Dental Videos
    • Testimonials
  • Meet Our Doctor
    • Wilfred Ukhurebor, DDS
  • Services
      • All on 4®
      • ClearCorrect®
      • Crowns & Caps
      • Dental Bridges
      • Dental Fillings
      • Dental Lab
      • Dentures
      • Digital Radiography
      • Emergency Treatment
      • Extractions
      • Implant Dentistry
      • Invisalign®
      • Night Guards
      • Pediatric Dentistry
      • Periodontal Treatment
      • Root Canals
      • Sedation Dentistry
      • Sports Mouthguards
      • Teeth Whitening
      • TMJ Disorders
      • VELscope® Cancer Screening
      • Veneers
      • ViziLite® Plus
      • Wisdom Teeth
    • View All
  • Dental Health
  • Contact
  • Book Appointment

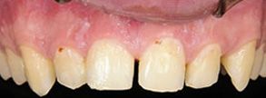
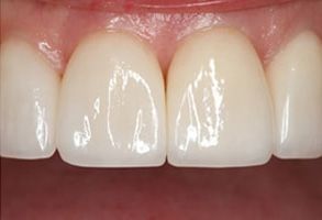
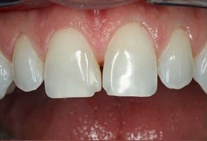
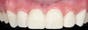
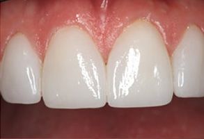
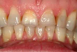
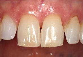
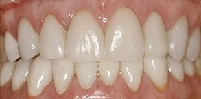
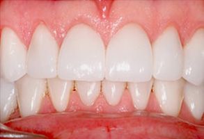
Smile Gallery

Additional Information

Our Location

1400 N Center Street
Suite 100
Bonham, TX 75418
(903) 304-5810

Follow Us